審美歯科

審美歯科

審美歯科とは?

審美歯科を一言で表現すると歯をきれいにすることで口元を美しく魅せる治療です。人間は本能的に、白いものに美しさを感じるといわれています。顔の中で白い部分は目の白いところと歯だけなので、歯の色を白く変えるだけで、相手によいイメージを与えられるんです。そのため、ホワイトニングや歯の被せものを治すだけで仕事やプライベートでの大切な相手に与える第一印象は随分変わると言われています。

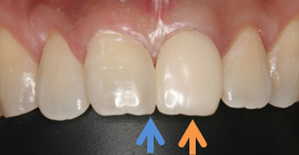
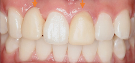
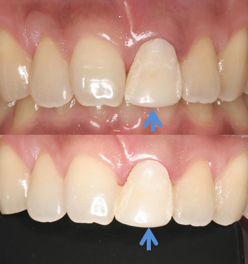
前歯部における審美修復 1

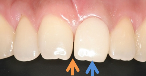
前歯部における審美修復 術前
術前
前歯二本の形と色が気になるため(部分)当院に来院
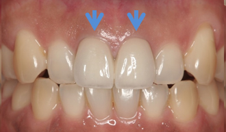
前歯部における審美修復 術後
術後
患者さんには自然な歯の形態および色調に満足してもらえました

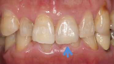
前歯部における審美修復 2

できるだけ削らない治療ダイレクトボンディング
術前
転倒して前歯がかけてしまい(↑部分)できるだけ削らない治療ダイレクトボンディングを希望して来院されました
ダイレクトボンディング治療後
術後
ダイレクトボンディング治療後

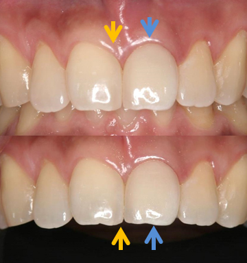
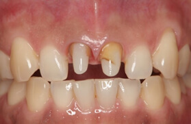
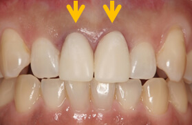
前歯部における審美修復 3

前歯の審美障害
術前
前歯の審美障害(↑部分)の治療を希望されて来院されました
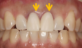
根管治療後、隣の歯にダイレクトボンディングを施す
術後
根管治療後、隣の歯にダイレクトボンディングを施す(黄色↑部分)と同時に、セラミッククラウンによる治療(青色↑部分)を行いました

審美修復3の治療プロセス(治療手順)

(歯質切削量を最少限に抑え、審美的にこだわった治療手順)

仮歯を新しく作ります
↑部に隣の歯と同じ大きさの仮歯を新しく作ります
隣の歯と同じ形・大きさの仮歯
術後
隣の歯と同じ形・大きさの仮歯(青色↑)が入りました
しかし隣の歯との間に隙間(黄色↑)ができてしまいます
隣の歯にダイレクトボンディング
術後
隙間があるため、隣の歯にダイレクトボンディング(青色↑)を行い、それに調和した仮歯(黄色↑)を作製します
元々の歯の色を調べます
元々の歯の色を調べます
セラミックによる被せ物
患者さんが納得した仮歯をセラミックによる被せ物(青色↑)に作り替えて終了です

前歯部における審美修復 4

真ん中前歯2本を
術前
真ん中前歯2本をかかりつけ歯科医で被せた↓が審美的に不満を持ち当院に来院されました
周囲の歯に調和させた被せ物
術後
患者さんと話し合い周囲の歯に調和させた被せ物↓を作り入れます

審美修復4の治療プロセス(進め方)

真ん中前歯2本
真ん中前歯2本をかかりつけ歯科医で被せたが審美的に不満を持ち当院に来院されました
周囲の歯と調和する歯の形態・色
周囲の歯と調和する歯の形態・色を徹底して調べます
被せ物を除去
既存の被せ物を除去します
周囲の歯に調和させた被せ物
患者さんと話し合い周囲の歯に調和させた被せ物を作り入れます

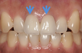
前歯部における審美修復 5

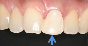
前歯の形と色の相談
治療前
前歯の形と色(↑部分)の相談(見た目)に遠方から来院されました
自然な前歯の形と色に満足
治療後
自然な前歯の形と色に満足されました

虫歯除去後の審美修復6

虫歯が進行した部分のみを除去
術前
患者さんはダイレクトボンディング法を希望されたため虫歯が進行した部分のみを除去しました(削る量は最小限で済むため歯にやさしい治療です)
ダイレクトボンディング治療後
術後
ダイレクトボンディング治療後

虫歯治療による審美修復7

奥歯の詰め物と虫歯
術前
奥歯の詰め物と虫歯が気になるためダイレクトボンディングを希望されました
ダイレクトボンディング 治療後
術後
ダイレクトボンディング 治療後