ホワイトニング

ホワイトニングイメージ

当医院のホワイトニングは…

当医院では、初めに患者様の歯の色状態を計測して数値として表します。これにより客観的に、現在の歯の色調をお知らせすることができるため、私たちは患者様と一緒に、美しい理想とする色調に変えることができます。当医院は、最初に患者様と十分なお話をした後に(白といっても色々あるため、どの様な白い歯にしていくのかを患者様と決めた後)医院内での施術により短時間で白くするオフィスホワイトニング法と患者様自身が家で行っていただくホームホワイトニング法を行っています。

オフィスホワイトニングとは?

クリニックで約30分

ビヨンドシステム

歯の表面に薬剤を塗りレーザーを歯に20~30分あてることで自然な白さへと変化します。もちろん施術中に痛みなどの不快なことが生じることはありません。色調の変化が速いため希望とする白さになるまでの時間は短くて済みます。当医院ではアメリカで開発された、最先端のオフィスホワイトニング(歯科医院でおこなうホワイトニング)ビヨンドシステムを行っております。歯の表面にホワイトニング剤を塗り、光を当てるだけで白い歯になります。ホワイトニングの先進国であるアメリカでは、すでに数百万人もの方がビヨンドシステムで歯のホワイトニングをしています。十分に実績のあるホワイトニングシステムです。

当クリニックは、日本の歯科医院ではいち早くこのシステムを取り入れました。コーヒー、紅茶、タバコによる着色だけでなく、抗生物質による歯の変色、老化や遺伝による黄ばみにも一定の効果があります。

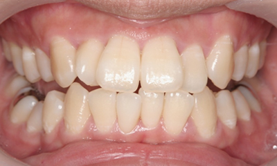
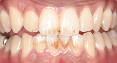
歯に付着したステイン除去
施術前
歯に付着したステイン除去とホワイトニング希望により来院されました
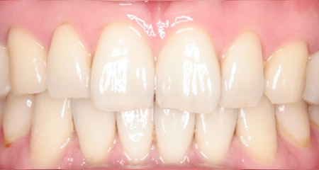
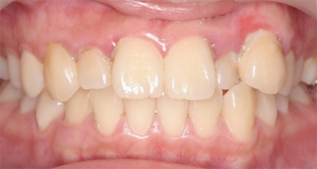
ホワイトニングの施術後
ポリッシングとホワイトニングの施術後
ステイン除去と色彩が5ランクアップしました

ホームホワイトニングとは?

いつでも都合の良いときに好きなだけ白くする方法

医院内で患者様が白くしたい歯の型をとります。とった歯の型からマウスピース(ボクサーが歯を守るためにしているものとほぼ同じもの)をつくります。このマウスピースとお渡しする薬剤は家にお持ちかえっていただきます。マウスピースの中に歯を白くする薬剤を塗った後、口の中にはめてもらいます。これを家で一日数時間行うことにより、数週間後に希望通りの色調にします。自分の希望する白さになるまで時間や場所を選ばないで好きなだけできます。

ホワイトニングを体験された皆様の施術症例を一部掲載させていただきます

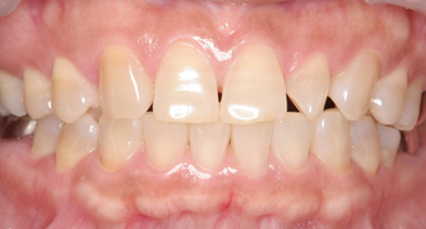
施術症例1

口臭と歯の着色
施術前
口臭と歯の着色に悩んで来院されました
ホワイトニングの施術後
クリーニング and ホワイトニング後
クリーニングとホワイトニングの併用により歯肉の色、形態が改善し歯質の色彩が3ランク上がりました

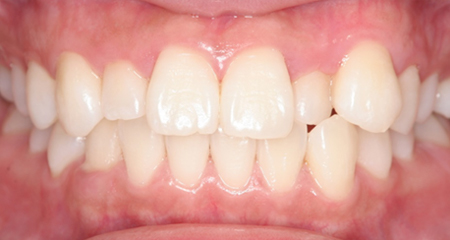
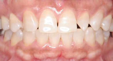
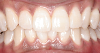
施術症例2

 歯に付着したステイン除去とホワイトニング
施術前
歯に付着したステイン除去とホワイトニング希望により来院されました
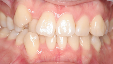
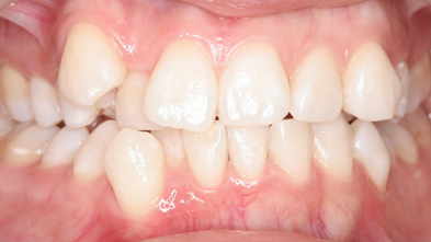
ホワイトニングの施術後
ポリッシングとホワイトニングの施術後
ステイン除去と色彩が5ランクアップしました

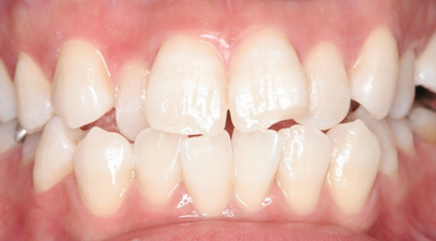
施術症例3

歯の色
施術前
以前から歯の色が気になっていたため来院されました
ホワイトニングの施術後
ホワイトニング後

施術症例4

ホワイトニングを希望
施術前
結婚式に出席するご予定があるためホワイトニングを希望し来院されました
ホワイトニングの施術後
ホワイトニング後

施術症例5

歯の着色
施術前
歯の着色からホワイトニングを希望し来医院されました
ホワイトニングの施術後
ホワイトニング後

施術症例6

歯質の色を明るく
施術前
歯質の色を明るくしたいとの希望で来院されました
ホワイトニングの施術後
ホワイトニング後
歯質の色彩が3ランクアップしました

施術症例7

クリーニングとホワイトニング
施術前
クリーニングとホワイトニングを希望されました
ホワイトニングの施術後
施術後
クリーニング・ホワイトニングにより口腔内が清潔になりました