精密な治療

マイクロスコープ(歯科用顕微鏡)

マイクロスコープ(歯科用顕微鏡)
マイクロスコープ(歯科用顕微鏡)

当院ではマイクロスコープ(歯科用顕微鏡)を導入することで肉眼では治療不可能であった精密な治療を行えることを可能にしました。歯の細部に及ぶ精密な治療が可能となったことから今までは抜歯と診断されてきた歯を保存できるようになりました。肉眼では確認できない細部の治療を確実に実行するための必要不可欠な装置で、歯を保存するためになくてはならないものです。当院では充分な治療を行うため、マイクロスコープによる治療を行う場合は、一定の治療時間(45分以上)を確保しご予約をお取りしています。

虫歯治療

 

しかし日本はというと…

まだ日本全体の歯科医院の2~3%しかマイクロスコープは普及していないというのが現実です。ただマイクロスコープを導入すれば精密な治療が行うことができる分けでありません。マイクロスコープを用いたトレーニングが必要不可欠となります。私自身初めてマイクロスコープを取り入れた6年前、それが効果的に治療結果に結びついていた分けではなく診療時間だけが長引いていたことが当時の現状でした。その後マイクロスコープの専門的な教育を受け、マネキンを相手にトレーニングを繰り返すことで少しずつテクニックが上がり高度な治療を行えることができるようになりました。その結果、今では抜歯と診断された歯をマイクロスコープとCTを併用した治療を行うことにより歯を抜かずに保存することが可能となりました。マイクロスコープは医科において1920年代から利用され始めましたが歯科に導入されたのは、1990年代と遅かったようです。しかしアメリカでは現在、歯の神経だけを専門に治療する歯科医の90%以上がマイクロスコープを使用しています。

なぜ欧米でこんなに多くの歯科医がマイクロスコープを使用しているのでしょうか?その理由は、今までは神経を取り除かなければならなかった状態の歯でも、マイクロスコープを使用することで神経を残せるケースが増えたこと。

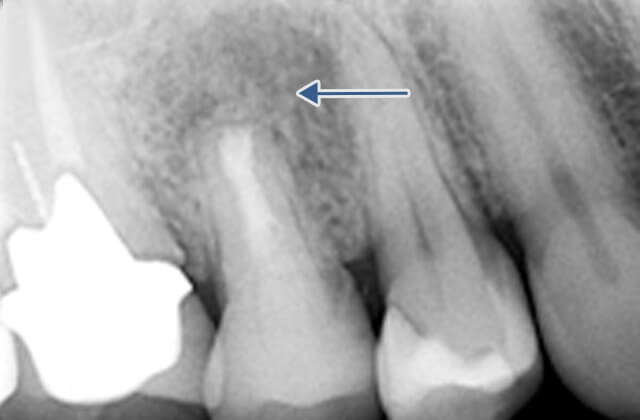
歯根周囲の大きな黒い影
歯根周囲の大きな黒い影にはアゴの骨が溶けて膿が溜まっています。

また、神経を除去した歯は、その後細心の注意を払って歯の根に対する治療を行わなければ根尖病巣といわれる顎の骨が溶けてしまう病気を引き起こすことになりかねません。この病気に一度でもなってしまうと治療しても再発の危険性が非常に高いため歯の寿命が非常に短くなってしまうことが知られています。

しかしマイクロスコープを使用した治療をすることで神経を取り除いてしまった歯でも飛躍的に歯の寿命を延ばせるようになりました。神経の治療が必要な歯や、以前に神経の治療をされている歯は、再発等の危険性が高いため歯の寿命が非常に短くなってしまいます。このような歯にマイクロスコープは絶大な効果を発揮します。マイクロスコープを使用した治療後は、再発率が極端に低くなると報告されています。

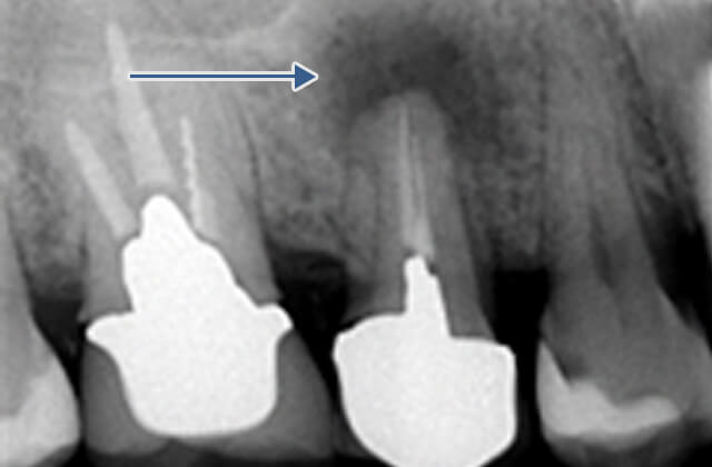
治療前のX線写真
治療前のX線写真
痛みと腫れを訴えて来院されました
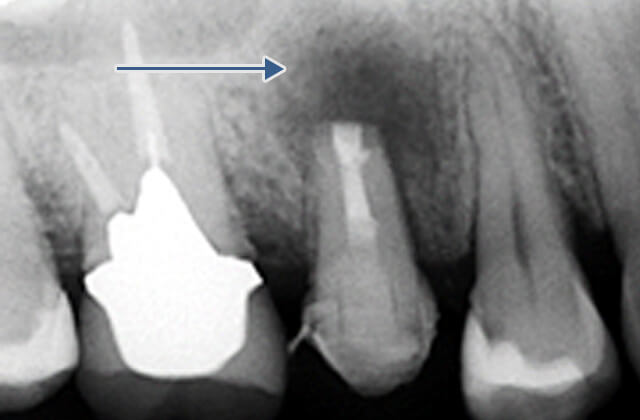
治療後のX線写真
治療後のX線写真
マイクロスコープ治療を行い溶けてしまったアゴの骨が回復しました(黒く写っていた所が白くなりました)

歯科用CT

歯科用CT
歯科用CT

当医院では歯科用CT装置を導入することで重度の歯周病治療時、歯の神経・歯の根の先にできた病巣の治療時に精密な診査が行えるようになりました。また、インプラント治療時、歯列矯正の治療時にCT撮影をすることにより正確な診断を行えるようになりました。これにより患者様ひとりひとりにあった最良の治療方法を提供できるようになりました。これらは、患者様個々のオーダーメイドの治療を可能とします。

レントゲン撮影とCT撮影の比較

初診時レントゲン
初診時レントゲン
歯肉が腫れています
初診時
歯肉が腫れています
エンドサージェリー治療
膿が出ています。根管治療では改善しないため、エンドサージェリー治療を行います
エンドサージェリー治療
エンドサージェリーを安全・正確に行うためCT撮影します。病巣が服鼻腔まで及んでいます
病巣部を除去
歯肉の下にある病巣部を除去しています
MTAセメントによる緊密な封鎖
病巣部を除去した後、顕微鏡下でMTAセメントによる緊密な封鎖を確認

レントゲン写真により経過を確認します

黒い影
術前
歯根周囲の骨が溶け(黒い影)膿が溜まっている事が分かります
エンドサージェリー直後
エンドサージェリー直後
術後6か月
術後6か月
溶けた骨が再生され(黒い影が白くなった)良好な経過です

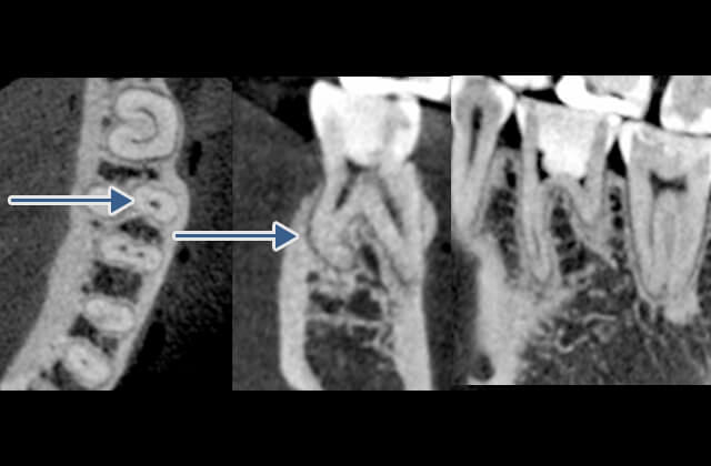
CT撮影し「湾曲した歯根形態」であると確認できます。同じ歯を撮影してもレントゲン写真では分からない事がCT写真では確認できます

レントゲン写真 レントゲン写真
レントゲン写真
CT写真
CT写真

CT撮影を行うことによりレントゲン写真では分からない歯とアゴを含む口腔状態を細部にわたって調べることができます。 それにより正確な診査・診断ができるため精密治療が可能となります。

CT画像分析による正確な現状把握

CT画像では歯根の先が強く湾曲している事(下図CT画像矢印部分)が分析できるがレントゲン画像ではそれを分析できません。これらは正確な治療を行っていく上で治療の成功に影響を与えるとても大切な検査です。

CT画像
CT画像
歯根が湾曲している(↑)
レントゲン画像
レントゲン画像

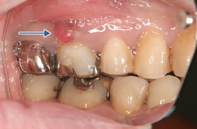
歯肉に見慣れないデキモノ・オデキの様なものができている事に気が付いたら

この様な下記の写真のように歯肉にデキモノができている事に気が付いたならば、早急に専門の医療機関を受診して下さい。歯根に膿が溜まる病気(根尖性歯周炎)に罹患している可能性が高いと言えます。そのため精密で正確な検査を行い現状の病態を詳細に分析して診断をする必要があります。そして最も最適な治療を選択し(根管治療を含む)実践していく事で歯および歯肉を健康な状態に回復させることが可能です。

デキモノ・オデキ1
デキモノ・オデキ2
デキモノ・オデキ3

「もう抜くしかない」と言われた方へ

きちんと治療すれば救える歯かもしれません。最近、「この歯は治療しても無理だから抜いてインプラントにしましょう」と言われてインプラント治療をうける方が多くなりました。その歯は、本当に抜いてインプラントにしないといけないのでしょうか?歯科用CT撮影やマイクロスコープによる精密な検査結果により抜かざるえないと診断される歯は少なからずあることは事実です。しかしこのような精密検査を行い時間をかけて適切な治療を受ければ助けることのできる歯が抜歯の宣告を受けているのも事実です。当医院の治療方針は精密検査による診査・診断に基ずいた治療を行った上で、できうる限り歯を残す治療をモットーとしています。当医院は、自分の歯を残すことがあなたにとって最も価値があることだと考えています。