インプラント

インプラントイメージ

インプラントとは!?

インプラント治療とは、これまで「ブリッジ」や「義歯(入れ歯)」でしか対応出来なかった歯の抜けた部分に天然歯の根の部分の代わりをする人工歯根(インプラント)を植え、顎(あご)の骨としっかり固定させた後にその上に人工の歯を装着させたものです。これにより取り外しの入れ歯の不快感がなくなり、天然歯と同等の力で再び噛む機能を回復させる画期的な歯の治療法です。入れ歯のように取り外す必要がなくなり、入れ歯では噛む事が難しかったものも噛めるようになります。また人前でも口元を気にせず、食事やお話しが楽しく出来るようになります。インプラント治療は、お口の中の機能回復と自然な審美性を追求した治療法です。

インプラントのメリット

  • 天然歯に近い噛み心地が得られる
  • 自然な表情になり、見た目的にも違和感がない
  • 入れ歯の様な食べ物の制限がない
  • 固定式の入れ歯を入れる事ができる
  • 歯が1本欠損した時でも周りの歯を削る事無く治療できる
  • 入れ歯のようなズレがない

こんな患者さんがインプラントに適しています。

  • 取り外しの入れ歯が嫌いな方、抵抗のある方
  • 口の中で入れ歯が動いたり、会話中にはずれ易い、話したり笑ったりした時に入れ歯が見えて恥ずかしい人
  • 歯の抜けた部位を治療するのに隣の健康な歯を削られたくない人
  • 以前と同じ天然歯のような歯が欲しい人
  • 奥歯が抜けてブリッジが出来ない方
  • 事故などの外傷で歯を喪失された方

※状況によってインプラント治療が出来ない場合もありますのでまずはご相談から承ります。

インプラント治療と従来の治療方法の違い

隣接する歯を1・2本失った場合

ブリッジ
  • 噛む際に、削られた歯に負担が かかり痛みやすい
  • 歯根のない歯茎は、噛むことによる刺激がないため次第にやせてします
ブリッジ01 ブリッジ02
インプラント
  • 健康な歯を利用しないため、自分の歯を保てる
  • 歯茎に噛む力がかかるので、歯茎を健康に保てる
インプラント01 インプラント02 インプラント03

奥歯を含めて複数の歯を失った場合

総入れ歯
  • 金属のバネをかける健康な歯に負担がかかる
  • 常に違和感がある
  • 金属のバネが見えて、見栄えが良くない
  • 金属のバネの間に食べ物が詰まりやすく、丁寧に掃除をしないと、虫歯や口臭の原因となる
総入れ歯01 総入れ歯02
インプラント
  • インプラントは時間の経過とともにあごの骨と結合するため、歯を支える力は健康な歯とほとんど変わらない
  • 単独で処置するので、健康な歯をそのまま保てる
  • 外観も機能も天然の歯と変わらない感覚が得られ、違和感がない
  • 特別なケアの必要がない
インプラント04 インプラント05 インプラント06

全ての歯を失った場合

部分入れ歯
  • 入れ歯がぐらついたり、ずれたりする
  • 硬いものが噛めない
  • 入れ歯が舌を塞いで、味がわからない
  • 食べ物が入れ歯と歯茎の間に挟まり、痛む
  • あごがやせてしまったために、年老いて見える
部分入れ歯01 部分入れ歯02
インプラント
  • インプラントはあごの骨に固定されているため、ぐらつかない
  • 天然の歯と変わらない感覚で物を噛んだり味わうことができる
  • 食べ物が挟まることはほとんどない。
  • 天然の歯と同様の外観を保つため、年老いて見えることはない
インプラント07 インプラント08 インプラント09

当クリニックのインプラント治療に対する配慮

患者様に安心して治療を受けていただけるよう最先端のCT撮影等による診査診断を行った上で、分かりやすく丁寧なご説明をさせていただけるよう心がけております。(治療に入る前に、この様な手順をふむ事で患者さんから安心して治療に積極的になることができたとの声をいただいております)

当院でインプラント治療を受ける事とは

  1. 1. 詳細な診査診断を受けていただくことでインプラント治療が安心安全な治療となります。
  2. 2. 丁寧な分かりやすいご説明をさせていただきます。
  3. 3. 治療後、美味しく食事ができることはもちろん自然な美しさを得ることができます。
  4. 4. 生涯インプラントを保持することを目標に適切なメンテナンスを行っております。
インプラント10
患者さんに安全で最も治療効果の高いインプラント体について精査します。
インプラント11

これは当院がインプラント治療に入る前に行っている診査資料です。CT撮影画像から固有の顎骨の形態、主要な神経・血管までの距離を計測することで患者さん個々に最適なインプラント治療を選択します。(オーダーメードによる治療)まず安全性を最優先して最善の治療を行うため、インプラント治療に入る前にあらゆるシュミレーションを行います。

当クリニックによるインプラント治療例

インプラント治療例
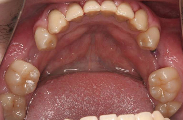
Before
インプラント治療例
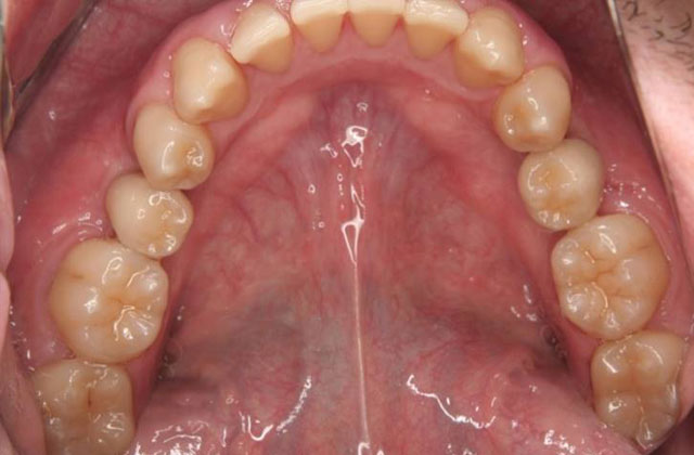
After

インプラント治療における成果とは、噛めるようになるのは、もちろん自然な美しさを獲得できてはじめて達成されるのです

インプラント治療35万円

通常のインプラント治療を行うことが困難な場合には、GBRやソケットリフトなどの術式を併用駆使する必要があります。そのような場合にはインプラント治療35万円の他にGBR・ソケットリフトなどに対応するために5万円の料金がかかる場合があります。(合計40万円)この様な費用のお話も治療を行う前に当院で精査を受けた後に詳しくご説明させていただいております。