エンドサージェリー
エンドサージェリー
エンドサージェリーとは根管治療で症状が改善しない、または良好な経過が得られなかった場合に行う治療です。顕微鏡を使用し外科的に病巣部だけを除去する低侵襲な治療方法です。根管治療を行うことで全ての歯を残すことができるわけではありません。当院では、エンドサージェリーを行うケースは非常に少ないのですが選択せざる得ないことがあります。しかし歯根を保存する最終手段となる治療方法であるため、この治療の必要性を慎重に検討しなければならない。そして必要であると判断されたケースは、CTによる診査診断を行った上で、エンドサージェリーの治療プロセスを計画します。このような過程を経ることで安全に確実な治療を行えます。
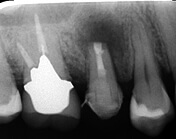
エンドサージェリー治療例 1

保存治癒できた当院治療映像(エンドサージェリー)
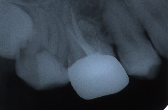
エンドサージェリー治療例 2

当院で保存治癒したエンドサージェリー治療映像
エンドサージェリー治療例 3
(一度患歯を抜いて口腔外で病巣部を切除し薬剤を填入した後に元の場所に戻す外科的治療)
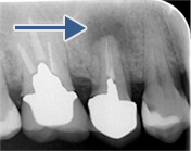
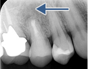
エンドサージェリー治療例 4
被せ物をした歯の違和感により来院されました
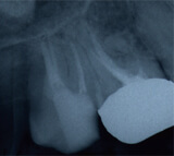
レントゲン写真により経過を確認します
黒い影は骨が溶け膿を持っている
黒い影が無くなり骨の再生が認められ経過は良好です