ダイレクトボンディング

ダイレクトボンディングイメージ

ダイレクトボンディング・レイヤリングテクニック

なるべく削らずに美しく歯を治したい、そんなあなたにぴったりの方法があります。虫歯治療時にダイレクトボンディング・レイヤリングテクニックを使用した治療を行う場合、歯を削る量が最小限(わずか)で済み、歯に対して非常にやさしい審美的な治療方法です。

どの材料を用いた治療よりも、治療後に虫歯になりにくい、長持ちする治療法がダイレクトボンディング治療です。当院で行う治療方法は、治療後の生活を快適に過ごせて、丈夫で長持ちする治療を行う事を常に心がけております

当院で行うダイレクトボンディング治療

ダイレクトボンディング
術前
ダイレクトボンディング
術後

ダイレクトボンディングレイヤーとは?

レジン充填(虫歯を削ってプラスチックを詰める治療)を発展させたアメリカ発の新しい治療法です。何十色もあるレジンの中から歯の構造、色調に合わせて何層にもレジンを重ねて詰めます。天然の歯の透明感や光沢を出し、色のグラデーションや細かいニュアンスにこだわって詰めていきます。従来行われている、単色でのレジン充填ではどうしても不自然な感じになることが多いです。新しく出来てしまった虫歯の治療はもちろん、すでに詰めてあるプラスチックが変色して目立って気になる、奥歯の咬み合わせの面にある金属を白くしたい、前歯が欠けた、前歯の形を変えたいなどの症例に対応できます。一般的には、歯をきれいにする方法としてセラミックをかぶせたり、ラミネートベニアにしたりということが主流ですがどうしても歯を削る量が多くなります。ダイレクトボンディング・レイヤーでは、従来の治療法と比較して、削る量をずっと少なくて済ませることのできる審美的な修復法です。

ダイレクトボンディング・レイヤーの特徴

  • 削る量が少なくて済むため歯に優しい治療法です。
  • 従来の材質であるレジンと違い変色が少ないため長持ちします。
  • 技術的に難しいため、詰めるのに30分から1時間くらいかかりますが大抵1回で終わります。
  • ルーペと顕微鏡を駆使して詰めるので歯との隙間が無く、虫歯の再発率を下げることが出来ます。

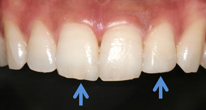
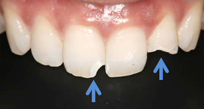
ダイレクトボンディング症例1

前歯がかけた
術前
転倒して前歯がかけてしまい(青矢印)できるだけ削らない治療ダイレクトボンディングを希望して来院されました
ダイレクトボンディング治療後
ダイレクトボンディング治療後

ダイレクトボンディング症例2

詰め物が取れた
術前
詰め物が取れてしまい、しみるためダイレクトボンディング治療を希望されました
ダイレクトボンディング治療後
術後
ダイレクトボンディング治療後

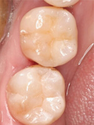
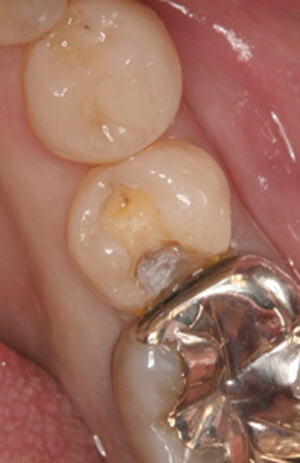
ダイレクトボンディング症例3

詰め物と虫歯
術前
奥歯の詰め物と虫歯が気になるためダイレクトボンディングを希望されました
ダイレクトボンディング 治療後
術後
ダイレクトボンディング 治療後

ダイレクトボンディング症例4

虫歯が進行した部分のみを除去
術前
患者さんはダイレクトボンディング法を希望されたため虫歯が進行した部分のみを除去しました(削る量は最小限で済むため歯にやさしい治療です)
ダイレクトボンディング 治療後
術後
ダイレクトボンディング治療後

ダイレクトボンディング治療料金

2万円~4万円(虫歯・欠損の範囲によります)