歯科ドック

歯科ドックイメージ

歯科ドック

「歯科ドック」あまり聞きなれない言葉かもしれません。歯科ドックとは、顎を含む口腔内の状態、機能を詳しく検査することで異常がないか調べることです。いわば医科で行う人間ドックと同様、お口を対象とした歯科専門の人間ドックと思ってください。お口の中全てを精密検査することで早期発見・早期治療につながり、生涯自分の歯で噛める健康的な食生活を送ることができます。

人間は誰しも年齢を重ねていくにつれて体は衰えていきます。例えば、視力の低下や老眼がそうです。耳の機能も低下して聞き取りにくくなったりします。歯は、目や耳とは違い定期的な検診、メンテナンスを行うことで年齢に関係なく十分機能することが可能です。歯は大事にいたる前に治療をすれば早く簡単に元の状態に戻ります。歯の機能は年齢によって低下することはありません。年齢を重ねたからといって歯が悪くなるとは限りません。

ご自身による毎日の歯ブラシと定期的な検査、専門的な予防処置(歯石除去・歯のクリーニング)により歯は衰えることはなく生涯不自由なく使うことが可能です。歯は目や耳などの器官とは違って自己のケアーに加えて専門のクリニックによる口腔内の清掃・クリーニングを受けることで十分な予防効果を上げられます。加えて年に一度の精密検査・歯科ドックを受けることで、いつまでも自分の歯で美味しく食事ができる健康的な生活を送ることができます。

歯科ドックで行う精密検査

歯型を使った咬合器診査

歯型を使った咬合器診査

かみ合わせ、噛み癖、歯の形などを診査します(現在のかみ合わせなどを再現します)

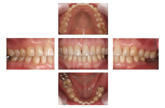
口腔内写真

口腔内写真

お口の中を記録して現在の歯肉、歯の状態を診査します

デンタル10枚法

デンタル10枚法

細かくレントゲン写真を撮影することにより虫歯、歯根・歯槽骨の状態などをしらべます

CT写真

CT写真

レントゲンでは写らない緻密な画像写真のため細部に及ぶ所見が得られます